
No fashion faux paws here-just postoperative protection for healing incisions.

No fashion faux paws here-just postoperative protection for healing incisions.

Thanks for taking our survey. Here's your free CVC audio!Thank you for taking our digital radiography survey.Your free CVC audio "Normal dental radiography ... you must know this before knowing abnormal" and "Knowing what's abnormal on dental radiographs in dogs and cats" by Barden Greenfield, DVM, DAVDC are below.

Your clients are confused and anxious and they want answers. Use this free team training to take the trauma out of the talk.

Dr. Jenifer Chatfield says it's all about responsibility-for pet owners of all stripes and scales.

Here's an update on adrenal disease therapy for these more unusual veterinary patients, plus the adventure of Zelda, a rare recipient of a pacemaker thanks to Kansas State University.

DEK One of our favorite exotic vets sits down to talk with us about her new book, the big pet-killing mystery she solved, and explain why it's awesomeand sometimes nerve-rackingfor cat and dog vets to treat exotics. (Bonus tip: Oral penicillin kills rabbits, folks. Beware!)

3 strange visitors to an exotics doc's exam room

Chatfield shares her tips on finding an alternative career in veterinary medicine, her worries about the next big zoonotic disease, and her all-American approach to pet ownership.

Practice owner and newly published memoirist Dr. Laurie Hess sat down with us at CVC San Diego for an exclusive Q&A about her new book, a big sugar glider mystery, her take on practice managementand managing nosy neighbors.

A Q&A on what makes a reindeer a reindeer and an overview of their flight patterns (really).

Young veterinary grads will be smarter and more career-flexible if they look to mixed practice for their first job.

Dr. Julia Whittington explains the importance of taking the time to observe critical exotic pets before diving in with therapeutic measur

Equine flu. Canine flu. Now do we have to worry about the frog flu, too?

An exploration of exotic animal capture in ancient Rome and more fuel behind our love of goats-plus cuteness overload from down under.

A pioneering Texas A&M team hopes the successful cataract surgery will serve as a model for future procedures on elderly penguins.

Won't somebody please think of the rabbits, ferrets, rats ...?

Those furry, floppy, fun-loving ferrets can heap tons of trouble on their nearly shoulderless bodies without meaning to. Help new ferret owners protect their furry little friends with these quick tips from Tracey Ritzman, DVM, DABVP.

Improper care is the No. 1 reason reptiles are brought into the veterinary clinic.

Fish aren't your typical veterinary patient, but some clients may have questions about their care. Be ready to answer!

At one time, veterinary spot-on topical fipronil formulations for dogs and cats were recommended for extralabel use in rabbits, but no more. Exposure to these products can cause life-threatening signs in rabbits.

No two days are the same for Busch Gardens senior veterinarian, who cares for about 300 species.

Avian Bornavirus causes blindness, heart failure or intestinal blockage.

Insight from the original exotic-animal veterinarian at Conejo Valley Veterinary Hospital.

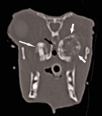
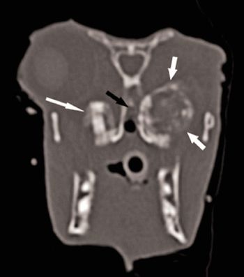
After an enucleation, purulent material began coming from this rabbit's nose and filled the empty orbit. Find out why.

Educate pet owners about issues like behavior, dentistry, senior care, payment options at your veterinary practice, and more.