
Extract, treat or refer? Learn how to interpret oral radiographic images and make more confident treatment decisions for patients.

Extract, treat or refer? Learn how to interpret oral radiographic images and make more confident treatment decisions for patients.

Digital imaging systems will enhance periodontal wellness for your veterinary patients-when you know how to present the benefits to clients.

An overview on how to address malocclusion and other orthodontic problems in pets.

Missing or extra teeth must be caught early to prevent more serious dental problems down the line.

Hair in the oral cavity? Is it a problem? If so, what can you do about it?

How a foundation is keeping all creatures wild and wonderful in good oral health-and how you can help.

Visual examination, anesthetized probing and intraoral radiography can help veterinarians assess each patient's level of disease.

Visual examination, anesthetized probing and intraoral radiography can help you assess each patient’s level of disease.

Veterinary dentist Dr. Jan Bellows answers common questions about dental care in pets.

Strategies for addressing the large population of pets with dental disease that go unnoticed by their owners.

Veterinary dentist Dr. Jan Bellows answers common questions about dental care in pets.

Strategies for addressing the large population of pets with dental disease that go unnoticed by their owners.

Gingival bleeding on probing indicates inflammation and requires treatment.

Sorting through your choices for repairing these deep-seated defects.

Depending on the degree of disease, locally applied antimicrobials may help.

Tips and tricks to ensure you don't ruin this essential, expensive equipment.

Becoming familiar with the fundamentals of oral cytology can be invaluable.

A few these tips for these handy dental tools.

Check out these best practices for choosing dental sutures, needles and suturing methods.

Keep in mind that eruption is controlled by genetic, environmental, infectious and traumatic factors.

Weigh clinical, radiographic evidence as well as client expectations when approaching this preventable disease.

The degree of severity of periodontal disease relates to a single tooth; a patient may have teeth that have different stages of periodontal disease. Here is an outline of the American Veterinary Dental College-approved periodontal disease classifications.

A photo tutorial on surfaces of teeth and directions in the mouth.

Clients frequently express concern about the anesthesia their dogs or cats need for professional oral evaluation and care.

The lower jaw of the cat on your exam table is displaced to the left (Photo 1). Is the mandible or maxilla fractured? Or is the mandible luxated? If so, right or left? What is the best way to diagnose and treat this problem? Can you as a general practitioner handle it, or must the case be referred to a boarded orthopedic or dental specialist?

When a dog or cat presents with lethargy or pale mucous membranes and anemia is suspected, the ultimate treatment and prognosis starts with successfully categorizing the problem.

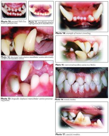
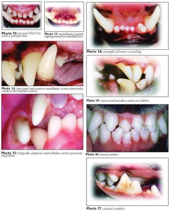
I hung up the receiver after explaining to one of my clients why his "normally" undershot Shih Tzu's maxillary incisors needed be removed because they were penetrating the mandibular gingiva.

Creating a dental treatment plan can be frustrating. As with other veterinary disciplines, dental diagnosis and care is one-third recognition of disease, one-third understanding anatomy and medical principles, and the last third performing needed care.

According to industry estimates, less than 10 percent of small animal practices have dental radiograph units and of those, less than 10 percent take intraoral films on every dental case.

Behind every flourishing dental practice is a great veterinary staff. If you want to move forward with your veterinary dental practice, it's time to get your technicians on board.