
By nature of the alphabet, we must get through all of the noes in veterinary dentistry before we can reach the yesesbut that doesnt mean you wont feel positively inspired to better your dental practices after reading.

By nature of the alphabet, we must get through all of the noes in veterinary dentistry before we can reach the yesesbut that doesnt mean you wont feel positively inspired to better your dental practices after reading.

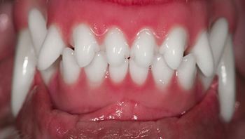
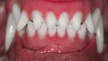
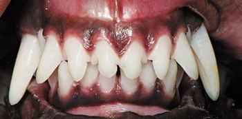
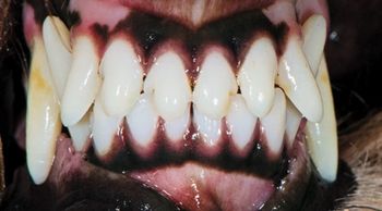
In veterinary medicine, the goal of orthodontic correction isnt a pretty smile but pain-free, functional occlusion.

Dr. Bellows asks whether we're not emphasizing prevention enough in the dental care of our patients.

We're almost halfway through the alphabet. It's time for a pep talk on the absolute good of dental care in your patients.

It's all smooth sailing until a maxilla or mandible mishap. Here's some help on navigating the sometimes scary course of jaw fracture repair.

Feel confident in your recommendations for dental products that your veterinary clients can use at home.

An in-depth look at what can go wrong during a dental procedure and how much to share with veterinary clients.

Test your skills at assessing troubled teeth with this quick veterinary dentistry quiz.

When hair becomes embedded in the oral cavities of your veterinary patients, it can cause inflammation and the destruction of periodontal attachment. Know where to look for it, how to treat it and how to keep it from recurring.

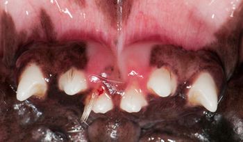
As you are readily familiar, if this vital oral tissue that protects the teeth becomes inflamed, a progressive and painful disease can develop if not halted with good dental care.

A buildup of calculus and plaque in this area can make a tooth prone to attachment loss, causing serious, painful disease if not caught early.

Make sure your knowledge of what can go wrong with this natural tooth covering-the hardest substance in the body-isn't too superficial.

The fun continues on our alphabetic journey through the management of our veterinary patients' oral problems.

What to recommend when your client does not agree with your periodontal diagnostic and treatment plan.

The start of an alphabetic journey through the management of our veterinary patient's oral problems.

DEK Bulldogs, Labrador retrievers and beagles are prone to it. Why, what is it, and what can be done?

What approach would you take to fix this pups tooth and provide a solution for the long term?

Thick, ropey saliva and a painful patient: Whats the deal?

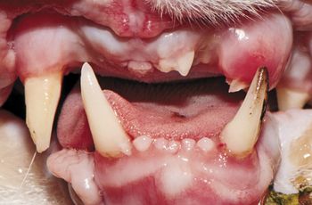
Dr. Jan Bellows offers advice for treating these painful lesions in elderly feline patients.

Several tools are at your fingertips to take your dental care protocol further than ever before.

Find out when just keeping your eye on the target, and not necessarily intervening, is the best approach to dental care in your veterinary patients.

A guide to when intervention is indicated in your veterinary patients with dental problems.

Extraction isn't always the best choice for veterinary patients with tooth troubles. Find out in which cases tooth repair-not removal-can restore dental health.

When is dental extraction the treatment of choice? Find out in this first installment of a multipart series on what to do to when faced with dental pathology.

Looking back on his rescue efforts, Dr. Bellows discusses what worked-and what didn't.Signs: Ultimately, it was one of our signs that reunited us with Rylee. Get the word out by ordering 11x14-inch laminated posters from an office supply store. Staple them to a stake and zip-tie the posters to posts in the area.

Dr. Jan Bellows recounts the dramatic four-day search for his beloved missing pet-and what he learned along the way.

This veterinary dental condition, also called kissing lesions, can be extremely painful in affected pets and requires immediate and dedicated care.

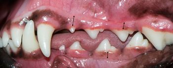
Mandibular and maxillary trauma can be difficult to evaluate and treat. Here are some tips that can help you streamline your diagnostics and improve your outcomes.

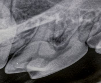
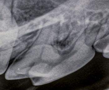
Intraoral radiography can help identify this pathology in your patients-and guide you toward the next step in your treatment plan.

When pets head home after hospital stays, an evening phone call can make all the difference for clients.