
Prevention is one of the most important parts of hygiene, as teeth are clean for only about six hours.

Prevention is one of the most important parts of hygiene, as teeth are clean for only about six hours.

A disturbing e-mail arrived the other day: Hello, Dr. Bellows: I have a 5-year-old yellow Labrador Retriever that I have routinely cleaned her teeth (with enzyme toothpaste and a brush, recently using Sonicare). Despite all best efforts, she is building up tartar and I think may have a dark spot (cavity on a rear molar).

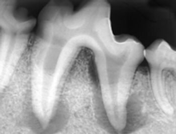
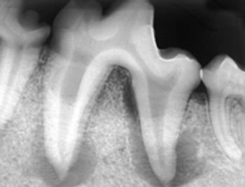
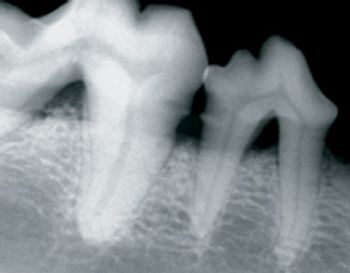
Intraoral radiographs are essential to perform quality dental therapy. Teeth can be cleaned and polished without seeing radiographic images below the gingiva, but "dentistry" cannot be performed properly.

Frequently, dental cases present to animal hospitals for treatment of halitosis. Daily tooth brushing, although a noble idea, is rarely practiced. Clients rarely see their pet's teeth. They bring their dog or cat to the veterinarian to have the teeth cleaned and polished. Hopelessly effected teeth are extracted without the client ever seeing the true extent of disease or areas of special attention for home care. Thanks to digital photography and inexpensive software, bringing your client into his or her pet's mouth is now within every practitioner's reach.

As a small-animal practitioner, you spend a good portion of your day diagnosing and treating periodontal disease. Unfortunately, due to differences in salivary pH, our patients accumulate plaque and develop calculus five times faster than people. Research shows that 80% of dogs and 70% of cats show signs of gingival disease by the age of 3 according to the American Veterinary Dental Society. Periodontal disease can cause halitosis and pain and may be related to kidney and heart disease.

As a small-animal practitioner, you spend a good portion of your day diagnosing and treating periodontal disease. Unfortunately, due to differences in salivary pH, our patients accumulate plaque and develop calculus five times faster than people. Research shows that 80% of dogs and 70% of cats show signs of gingival disease by the age of 3 according to the American Veterinary Dental Society. Periodontal disease can cause halitosis and pain and may be related to kidney and heart disease.

At least 10-percent bone loss must be present to notice periapical disease radiographically.

Coming in September: Interpreting endodontic X-rays will be the subject of the next article in Dr. Bellows' radiography series.

All small animal practitioners routinely take radiographs of patients where indicated. Radiographs simply put, help the veterinarian evaluate the patient.

Periodontal inflammation is the most common syndrome affecting small animals. In no other area of the body can the dedicated veterinarian and dental team make a lifelong difference in patient health and longevity.

When presented with a patient that has a fractured tooth, the practitioner is faced with options for care: do nothing, follow the patient with serial radiographs, place a crown on top of the fracture with or without performing root canal therapy, or extract the tooth. The decision is based on patient and client factors. This foundation article will discuss patient factors.