
Medical


Company seeks to place the synthetic cadavers in all accredited veterinary schools worldwide through crowdfunding campaign.

The fun continues on our alphabetic journey through the management of our veterinary patients' oral problems.

Rumple, a 2-year-old Havanese, undergoes a stenting procedure usually used in young human cardiac patients.



... the AVMA starting salary calculator showing that looks at many factors. And that does NOT mean any female DVM should ask a practice owner for less money than her male peers.

A pioneering Texas A&M team hopes the successful cataract surgery will serve as a model for future procedures on elderly penguins.

Let Dr. David Bruyette keep your cortisol concentrations from rising with these tips for confirming hyperadrenocorticism in dogs.

IO catheters can make a crucial difference for neonate and pediatric patients in emergent situations.

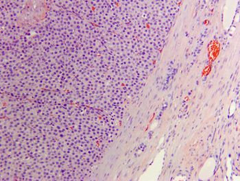
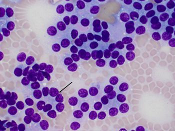
Dr. Caitlin Brown provides the anatomic pathology perspective on this challenging oncology case.

Dr. Lisa Viesselmann provides the clinical pathology perspective on this challenging oncology case.

Dr. Isabella Pfeiffer provides the radiation oncology perspective on this challenging oncology case.

When it comes to this itchy fungal infection, you've either got it or you don't. Got it?

AHS announces the hottest topics on tap for the 15th Triennial Heartworm Symposium scheduled for September in New Orleans.

The manufacturer says there are no more order limits for this in-demand canine atopic dermatitis treatment.

Researchers, practitioners and clients will be able to enhance animal and human health with help of endowment.

19-year-old thoroughbred honored for being a "Master Equine Educator" while helping veterinary students learn.

A team from UC Davis helps a border collie recover after her skull was dislocated from her spine.

What do you do when the emergency and specialty veterinarians you work with are really, really snooty about their general practice colleagues?

Every aspect of medicine contributes to the overall patient experience

Learn more about this officially recognized pain syndrome in pets and people.

This diabetic dilemma is a pain, Highness. Anyone who says differently is selling something.

Four new types of treats will be available to pair with the companys therapeutic diets.

Entyce is a first-of-its-kind therapeutic for inappetent dogs.

A comprehensive guide to the diagnosis and treatment of this common veterinary endocrine disease.

Data from 2.5 million dogs and nearly 500 thousand cats contributes to State of Pet Health Report, which also details 10-year trends in common diseases.

Sileo, designed for pet owners to administer before or at the time of a fear or anxiety-eliciting noise stimulus, is the first FDA-approved treatment specifically for noise aversion.

A client tells you her companionable cats have launched all-out warfare. How can you help? Heres one behaviorists insights.

