Banner - Fetch Encore 2025
News
All NewsBreaking NewsConference NewsExpert Interviews
Programs
dvm360 Insightsdvm360 LIVE!Pet ConnectionsProduct360The Vet Blast PodcastVet Perspectives™VetXchange®Vet WatchThe Resilient Vet: Mind and Body Strategies for SuccessFetch Encoredvm360IQ
Fetch
All ConferencesLong BeachCharlotte 2026Nashville 2026Kansas City 2026National Harbor 2026Long Beach 2026
Flex CE
Flex HomeArticlesConference ProceedingsOn-demand WebinarsPodcastsUpcoming Webinars VetXchange®Fetch On-Demand
Publications
More
Webinars
Business
AssociatesBusiness & Personal FinanceBuying or Selling a PracticeCareer DevelopmentHospital DesignLeadership & Personal GrowthOwnersPersonnel ManagementPractice FinancesPractice Managers Practice OperationsStudentsTechnicians TechnologyTechnologyWellbeing & Lifestyle
Partners
Awards
Hospital DesignVet Heroes
Shop

Subscribe

  • News
  • Programs
  • Fetch
  • Flex CE
  • Publications
  • Webinars
  • Business
  • Partners
  • Awards
  • Shop
  • Subscribe
  • Anesthesia
  • Anesthesiology & Pain Management
  • Animal Welfare
  • Aquatic Medicine
  • Avian & Exotic
  • Behavior
  • Dentistry
  • Dermatology
  • Diagnostics
  • Emergency & Critical Care
  • Equine Medicine
  • Feline Medicine
  • Food Animals
  • Geriatric & Palliative Medicine
  • Infectious Diseases & Epidemiology
  • Integrative & Holistic Medicine
  • Internal Medicine
    • Oncology
    • Neurology
    • Cardiology
    • Urology/Nephrology
    • Respiratory Medicine
    • Gastroenterology
    • Endocrinology
  • Livestock
  • Nutrition
  • One Health
  • Ophthalmology
  • Orthopedics
  • Pain Management
  • Parasitology
  • Pharmacology
  • Preventive Medicine
  • Rehabilitation
  • Surgery
  • Technology
  • Toxicology
  • Zoo Medicine
Spotlight -
Check out the Fetch On-Demand Catalog|
Veterinary Podcast
Advertisement

Caitlin Brown, DVM

Advertisement

Articles by Caitlin Brown, DVM

veterinary_thyroid_carcinoma_Figure_8_450.jpg

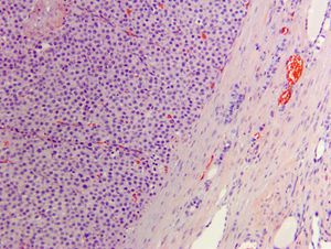
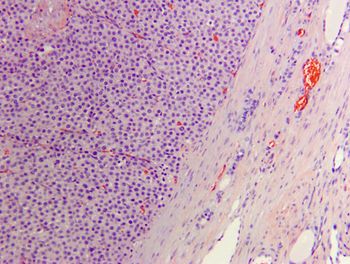
Canine thyroid carcinoma in 4-year-old American bulldog: Anatomic pathology perspective

ByCaitlin Brown, DVM
June 8th 2016

Dr. Caitlin Brown provides the anatomic pathology perspective on this challenging oncology case.

Advertisement

Latest Updated Articles

  • veterinary_thyroid_carcinoma_Figure_8_450.jpg
    Canine thyroid carcinoma in 4-year-old American bulldog: Anatomic pathology perspective

    Published: June 8th 2016 | Updated:



Advertisement
Advertisement

Trending on dvm360

1

UC Davis veterinary school adopts use of AI scribe platform

2

FDA approves maropitant citrate injectable solution

3

Advances in Feline Hypertrophic Cardiomyopathy (HCM): Diagnosis, Management, and Future Directions

4

Cardiology insights: Building on the RAPACAT trial with a new study for cats

5

New programs to launch at 5 top veterinary schools

  • About Us
  • Fetch DVM360 Conference
  • Terms and Conditions
  • Contact Us
  • Veterinary Podcast
  • Privacy
  • Editorial
  • Do Not Sell My Information
Contact Info

259 Prospect Plains Rd, Bldg H
Cranbury, NJ 08512

609-716-7777

Brand Logo

© 2025 MJH Life Sciences®

All rights reserved.

Home
About Us
News
Contact Us