
Information on fluid therapy in sheep, goats, llamas, alpacas, crias, and lambs.

A confirmed toxicological diagnosis rests upon the following; the goal is to focus down on a reasonable list of differentials.

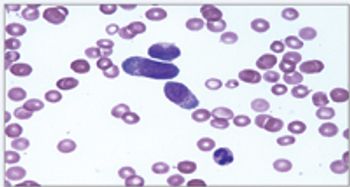
Evaluation of a properly prepared blood smear by the trained human eye is an absolutely necessary compliment to machine evaluation of peripheral blood in all species.

A number of therapy lasers are available to the veterinary practitioner.

One of the most commonly used diagnostic modalities in veterinary medicine is cytology.

In the diagnostic work up of any case, one of the most frequently used tests is the complete blood count (CBC).

Dysphagia is defined as difficult or painful swallowing. It may be due to obstruction, motility disturbance, or pain.

Low-level laser therapy is emerging as a new treatment option with a variety of applications in the veterinary field.

This morning we're going to talk about our least favorite topic – sick cattle. Sick cattle are not fun to deal with, but we're always going to have some of them.

Information on pregnancy toxemia, polioencephalomalacia, listeriosis, tetanus, scrapie, rabies, and anemia in goats.

With the constant introduction of new products on the human and veterinary market, it becomes a daunting task to keep up with veterinary pharmacology and vaccine technology.

Inflammatory bowel disease (IBD) currently is recognized as a common and important medical problem in cats.

An effusion is defined as the escape of fluid into a part. Effusive processes can occur in essentially any tissue in the body.

For those of us who are tolerating bawling calves for four or five days in a row, tolerating buller rates of over a half a percent, please listen and see if some of these things might be helpful.

As the human population ages and has more personal exposure to palliative and hospice care, pet owners are aware that there are benefits to having those services available for pets too.

Cytology is an extremely useful tool that can be employed in any practice.

Giardia, Clostridium perfringens enterotoxin, and Cryptosporidium are important causes of diarrhea in dogs and cats.

Antibiotic therapy is indicated for treatment of suppurative hepatitis, cholangiohepatitis and hepatic encephalopathy, and prevention of septicemia.

Xylitol poisoning is a recently recognized problem in dogs. Xylitol is a five carbon sugar alcohol [pentitol] that is used as a sugar substitute.

A 5-step Hospice care plan was developed by Dr. Tami Shearer to act a template so no part of pet's care would get overlooked.

In veterinary practice, therapy lasers can be used alone or in combination with other pain management tools to decrease recovery time, help manage pain, and treat other conditions.

A review of the physiologic differences affecting pharmacokinetics in neonates, the basic concepts in making drug choices for the neonatal canine and feline, the most commonly used drugs in neonates, and specific drugs commonly used and avoided in the neonate.

The presence of respiratory distress indicates either a problems with obstruction (e.g. laryngeal paralysis) or the lungs or pleural space.

The first 3 months of life (Neonatal stage – birth to 2 weeks, infant state – 2 to 6 weeks of age and pediatric stage – 6 to 12 weeks) may be considered the pediatric period in dogs and cats.

What we see as the current condition of the claws on any cow is a result of continuous growth, continuous wear, and intermittent trimming.

General principles of therapy for digital diseases are to eliminate the pain first and foremost and then to correct the underlying problem if possible.

This question can stimulate some very lively discussions. Understandably, many livestock producers can respond very negatively to the topic.

Primary hemostasis occurs when platelets attach to a damaged or disrupted area of the endothelium.

We had initially made a tentative diagnosis of chronic renal failure with secondary hypertension, dehydration and electrolyte loss, but did not know the cause of the hindlimb weakness.

Oxidative stress is caused by an imbalance between the production of reactive oxygen and a biological system's ability to readily detoxify the reactive intermediates or easily repair the resulting damage.