
Editors' note: This article is an updated excerpt from "Pimobendan: Understanding its cardiac effects in dogs with myocardial disease," which appeared in Veterinary Medicine's October 2006 issue.

Editors' note: This article is an updated excerpt from "Pimobendan: Understanding its cardiac effects in dogs with myocardial disease," which appeared in Veterinary Medicine's October 2006 issue.

Do you recommend year-round preventives to help control parasitic disease and increase client compliance?

The risk of a dog's being infected with heartworm disease each year is 250,000 out of 50,000,000; this translates to one in 200 dogs becoming infected each year.

Heartworm disease manifests quite differently in cats than in dogs and has an altered infective cycle.

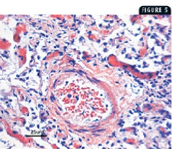
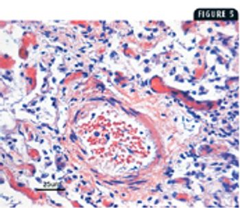
Infections occur infrequently, but can be months after the implantation, from hematogenous spread.

Most veterinary hospitals recommend geriatric pets receive once (or twice) yearly evaluations including an examination and blood testing. According to Dr. Bonnie Lefbom of Chesapeake Veterinary Cardiology Associates in Vienna, Va. that evaluation should also include a blood pressure measurement.

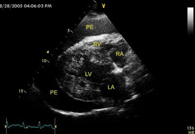
Pericardial effusion presents clinicians with a challenge when diagnosing the underlying cause, since the prognosis can be favorable in certain cases. Partial pericardectomy can be performed via thoracoscopy; and in select cases, this minimally invasive procedure can provide long-term relief of clinical signs.

Pimobendan, a benzimidazole-pyridazinone drug, is classified as an inodilator because of its nonsympathomimetic, nonglycoside positive inotropic (through myocardial calcium sensitization) and vasodilator properties.

GAINESVILLE, FLA. - 9/12/2006 - A University of Florida study aimed at discovering better ways to place pacemakers in dogs with complete heart block has received a $100,000 boost through a grant from the Morris Animal Foundation.

Dr. Bonnie K. Lefbom at the 2005 American College of Veterinary Internal Medicine Forum in Baltimore gave a lecture on sildenafil and novel cardiovascular therapies.

Fort Collins, Colo. - Dr. Janice Bright, a cardiologist at Colorado State University (CSU) is conducting ongoing research on feline arterial thromboembolism (ATE), using anti-platelet drugs called GP Iib/IIIa blocking agents.

Chronic valve disease (CVD), also called mitral valve disease or endocardiosis, is the most common form of acquired cardiac disease diagnosed in small- and medium-sized dogs. The mitral valve alone is affected in 60 percent of cases of chronic valve disease, whereas only the tricuspid valve is affected in 10 percent of cases. Thirty percent will have both the tricuspid and mitral valves affected. Endocardiosis is an age-related thickening of the mitral valve due to fibroblast proliferation and an increase in collagen and elastic fibers. The thickening of the mitral valve allows a regurgitant volume of blood to be forced from the high-pressure left ventricle into the low-pressure left atrium during systole. Over time, regurgitation can lead to progressive atrial and ventricular enlargement due to volume overload. Severe mitral regurgitation can lead to left-sided congestive heart failure and pulmonary edema formation. Long-term severe mitral regurgitation can lead to generalized heart failure. Right heart..

You can easily detect most arrhythmias on physical examination, but you'll need an electrocardiogram to identify an arrhythmia's exact nature.

We often underuse the auscultation and physical examination techniques our predecessors mastered to successfully evaluate the cardiovascular system. Instead, we lean on echocardiography to offset the subtle nuances we fail to recognize.

A Grade 1 murmur is the first audible sound you can hear. You can barely detect a Grade 1 murmur with your stethoscope.

Patients with congestive heart failure are, unfortunately, common in small-animal practice. Some patients present with acute exacerbation of previously diagnosed and treated cardiac disease. Other animals may present with vague and nonspecific clinical signs and have no known history of cardiac problems.

Over thousands of years, greyhounds have been bred and selected for speed. This selective breeding may explain a number of the idiosyncrasies we see in the breed today. Retired racing greyhounds are becoming more common pets and more common patients in veterinary hospitals. It is estimated that about 18,000 greyhounds are placed into homes as pets annually. This article will familiarize practitioners with some idiosyncrasies in greyhounds that can affect their medical care.

We now have an arsenal of test kits and prophylactics to choose from, and it can be confusing to know which to purchase. We tend to mold ourselves to the product instead of molding the product to the individual patient. This article should help you tailor the heartworm diagnostic, therapeutic, and prophylactic options to each of your canine and feline patients.

How often have you said, "Look it up in Ettinger's?" Dr. Stephen J. Ettinger co-edited the renowned Textbook of Veterinary Internal Medicine, now in its sixth edition. An internist and cardiologist, he practices at California Animal Hospital in Los Angeles.

CCT aims to replace lost cardiomyocytes with progenitor cells capable of growing into new cardiac-like tissue.

FORT COLLINS, COLO.-A Colorado State University (CSU) cardiology team is headed to the University of London to perform open-heart surgery on a dog and help set up an open-heart surgery program at the Royal Veterinary College.

In this retrospective study from a veterinary teaching hospital, the records of 15 dogs and three cats surviving cardiopulmonary arrest were reviewed to describe the animals' resuscitations and outcomes.

A 10-year-old 35.9-lb (16.3-kg) intact female Wheaton terrier was referred to the teaching hospital at Virginia Tech for evaluation of dyspnea.

Neoplastic and idiopathic pericarditis are common causes of pericardial effusion, a highly morbid condition.

Pulmonary hypertension is increased blood pressure in the pulmonary vascular system.