Test your skills at assessing troubled teeth with this quick veterinary dentistry quiz.
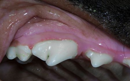
One of your veterinary clients has brought in Rylee for her annual check-up. She is a 3-year-old female German short-haired pointer. You flip her lip, take a gander and see her teeth as pictured below.

(Photos courtesy of Dr. Jan Bellows)
What do you think is going on?
a. The discoloration of Rylee's teeth indicates that the imaged teeth suffer from pulpitis, are likely becoming nonvital, and extraction or root canal therapy is indicated.
b. Severe gingival recession is present, necessitating surgical repositioning of the gums to save the teeth.
c. A thorough dental scaling and polishing can likely make Rylee's teeth and gums as good as new.
If you answered c, you're correct!
Despite the discoloration, Gus has the first-and easiest to fix and prevent-stage of periodontal disease: gingivitis. Specifically, she has marginal gingivitis secondary to plaque-covered calculus.
Periodontal disease starts with plaque. Daily plaque biofilm accumulates on the teeth, especially over the maxillary cheek teeth, which are bathed with saliva. If the biofilm is left undisturbed, minerals in saliva convert the plaque to rough calculus, attracting more plaque, which inflames the gingiva in many dogs and cats.
Once plaque, calculus and gingivitis are apparent, dental scaling, irrigation and polishing are indicated for treatment. Application of dental sealants and home care including the daily use of VOHC-accepted products help to reverse the gingival inflammation.
In this case, ultrasonic scaling was used to remove the plaque and calculus.

Then the teeth were polished with pumice.

And one week later, the gingivitis was on the way to complete resolution.

A discussion with the client about embracing home oral care including daily plaque control will help prevent further gingival problems from arising in Rylee. For more on identifying periodontal disease, click here.
From exam room tips to practice management insights, get trusted veterinary news delivered straight to your inbox—subscribe to dvm360.