
Editors Note: In a new series, DVM Newsmagazine asks experts within a variety of veterinary specialties to bust commonly held medical, business or professional myths. This month, we bite into dentistry.
Dr. Brett Beckman holds advanced degrees as a fellow in the Academy of Veterinary Dentistry, diplomate of the American Veterinary Dental College and a diplomate of the American Academy of Pain Management. He has published numerous peer-reviewed articles in the field of veterinary dentistry, oral surgery and pain management. He owns and operates a companion animal and referral dentistry and oral surgery practice in Punta Gorda, Fla., and sees referral cases at Affiliated Veterinary Specialists in Orlando, Fla., and at Georgia Veterinary Specialists in Atlanta. He lectures internationally on topics related to dentistry and pain management and operates the Veterinary Dental Education Center in Punta Gorda, Fla. For more information go to www.veterinarydentistry.net

Editors Note: In a new series, DVM Newsmagazine asks experts within a variety of veterinary specialties to bust commonly held medical, business or professional myths. This month, we bite into dentistry.

Quality veterinary dental education for staff, technicians and practitioners is readily available. Many practices take advantage of courses and seminars to increase knowledge and upgrade dental-care equipment.

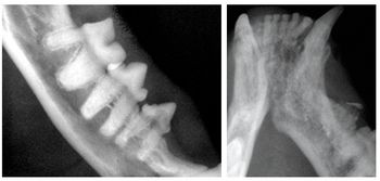
Practical knowledge of veterinary dental anatomy and physiology is essential to the veterinarian and veterinary technician involved in providing quality oral care to their patients. Quality surgical skills are only attainable with a thorough understanding of these concepts.

Proper professional dental prophylaxis is a must for every small animal practice. Prevention of periodontal disease can be accomplished only through regular professional care under general anesthesia. The following discussion details the essential steps in providing a thorough dental prophylaxis for our patients.