
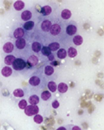
Cytologically, neoplasia is characterized by the presence of a homogeneous population of cells that have come from the same tissue of origin. This is best appreciated by the presence of cells with the same cytoplasmic characteristics.
Department of Physiological Sciences
College of Veterinary Medicine
Univeristy of Florida
Gainesville, FL 32610

Cytologically, neoplasia is characterized by the presence of a homogeneous population of cells that have come from the same tissue of origin. This is best appreciated by the presence of cells with the same cytoplasmic characteristics.

Lymph node sampling and cytology is quick, easy, and usually rewarding. Cytologic samples of peripheral and/or internal lymph nodes may be collected by fine-needle aspiration biopsy or nonaspiration fine-needle biopsy techniques.

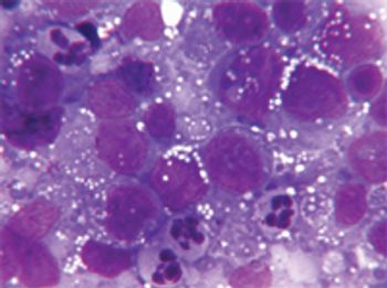
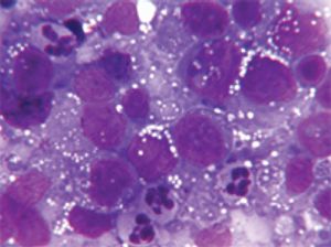
In cytology, cells that are properly smeared and stained can be described as "fried eggs" because of the similarity in the appearance of the nucleus and cytoplasm to the egg yolk and white. If the preparation is too thick, or is improperly stained, the cell outline may be seen, but intracellular detail will not be visible.

Of all the diagnostic tests available, blood evaluation is one of the single most valuable tools in assessing the general health of the body. Blood, and the nutrients it carries, circulates through every living cell in the body.

Published: August 1st 2010 | Updated:

Published: August 1st 2010 | Updated:

Published: August 1st 2010 | Updated:

Published: August 1st 2010 | Updated: