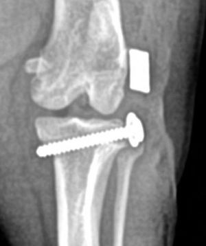
The washered-anchor techniqueByMark Besancon, DVM November 7th 2025A refinement of the lateral extracapsular repair.
Pilot study results of novel catheter design for managing feline urethral obstructionByMark Besancon, DVM September 23rd 2025Results found the MILA Tomcat Catheter improves crystal clearance in obstructed male cats.