
Are these three emerging parasites on your radar?
Department of Microbiology, Immunology, and Pathology
College of Veterinary Medicine & Biomedical Sciences
Colorado State University
Fort Collins, CO 80523

Are these three emerging parasites on your radar?

Some important infections practitioners should be aware of.

The ability to use anthelmintics to prevent and eliminate parasite infections or disease has been the cornerstone for many parasite control programs. Unfortunately, in many instances, what was a cornerstone has become the whole program.

Echinococcus granulosus is a tiny (~3 mm) tapeworm responsible for cystic echinococcosus in humans. In many regions of the world, this is a major public health problem as well as an important economic issue. As with other tapeworms, the life cycle involves both definitive and intermediate hosts.

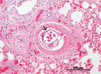
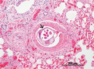
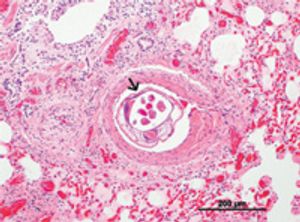
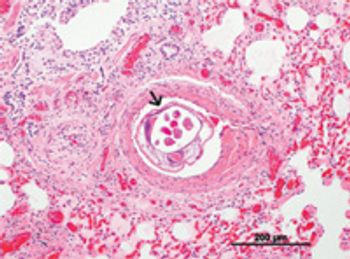
Larva migrans (LM) simply refers to the migration and persistence of helminth larvae in tissues of animals and humans and is separated clinically and pathologically into visceral (VLM), ocular (OLM) neural, and cutaneous larva migrans (CLM). There are many helminth parasites that can cause LM; however, Toxocara and Baylisascaris account for the majority of human cases as well as those in other animals.

Giardia is a protozoan parasite frequently detected in a wide variety of animals, including humans. Three major morphological groups are recognized: Giardia muris in mice, G. agilis in from amphibians, and a third group from various warm-blooded animals.

"After all, we are a mobile society and our pets travel with us". We are all probably tired of hearing it, yet, transporting our pets around the world is one of the most significant factors in the emergence of diseases in new geographic areas.

Raw food diets – when will we learn that truly raw foods are the pathway for disaster? In addition to bacterial problems, most tapeworm infections in dogs and cats are a result of eating raw food (prey) or ingesting untreated water. Pets should be fed cooked or prepared food and provided with fresh, potable water.

Cryptosporidium spp. are protozoan parasites of a wide variety of vertebrates, including humans, dogs, cats, horses and livestock. They are found throughout the world and are considered to be primary pathogens of both public health and veterinary concern because of their ability to cause gastrointestinal disease, their ubiquitous presence in the environment, and associations with large scale waterborne and foodborne outbreaks.

Although humans make pets out of almost any type of animal, dogs and cats are the only domestic animal that still routinely shares the house with their owners. Thus, it is imperative to know whether or not the parasites carried by these pets are zoonotic.

Fleas have been around a very long time having evolved from their ancestors about 125-150 million years ago.

We are all probably tired of hearing it, yet, transporting our pets around the world is one of the most significant factors in the emergence of diseases in new geographic areas.

Numerous patient-side tests are available to aid in the detection and diagnosis of various parasites and tick-borne pathogens.

The major zoonotic helminth affecting people in the US is Toxocara canis. This is a well-known parasite of our canine companions and one of the driving factors behind the call for year-round use of a broad-spectrum anthelmintic.

Neospora caninum, a recently discovered cyst-forming protozoan parasite, is a causative agent of ascending neuromuscular disease in dogs and of abortion in cattle worldwide.

Raw food diets – when will we learn that truly raw foods are the pathway for disaster?

Estimates indicate there are approximately 73 million owned cats in the United States with 30 percent of American households having at least one. Cats are host to a variety of parasites, including several that are zoonotic.

Published: January 1st 2012 | Updated:

Published: July 1st 2011 | Updated:

Published: May 1st 2003 | Updated:

Published: November 1st 2009 | Updated:

Published: November 1st 2009 | Updated:

Published: November 1st 2009 | Updated: