
Take a look at the cytologic results and determine the best treatment.
Department of Biomedical Sciences
Cummings School of Veterinary Medicine
Tufts University
North Grafton, MA 01536

Take a look at the cytologic results and determine the best treatment.

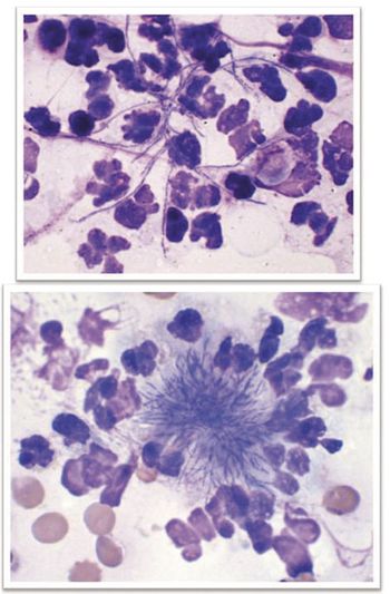
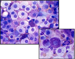
Look at the cytologic slides and discern the cause of a rottweiler's masseter muscle mass.

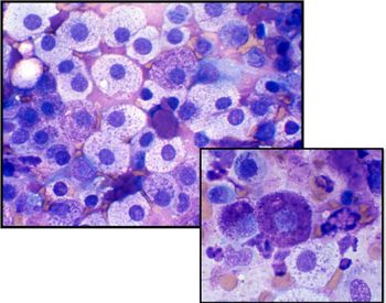
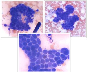
Can you diagnose the cause of this dog's mass?

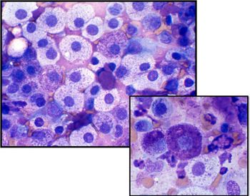
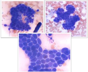
What's the cause of this German shepherd's scapular lesion?

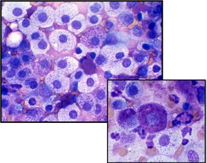
What disease process is causing this dog's lesion?

What's causing this cat's respiratory problems?

What do you recommend for routine fecal assessment for parasite ova?

How to prepare this solution for use in fecal centrifugal fecal flotation.

A quick step-by-step to performing this procedure.

Dr. Joyce Knoll provides her advice for this reader query.

Published: October 5th 2012 | Updated:

Published: December 1st 2010 | Updated:

Published: September 15th 2011 | Updated:

Published: September 28th 2011 | Updated:

Published: April 20th 2011 | Updated:

Published: May 12th 2011 | Updated: