
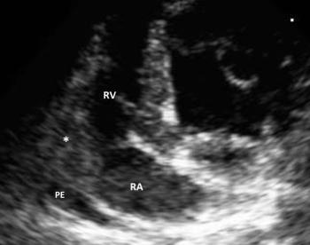
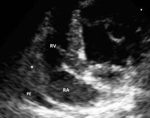
Considerations for the use of echocardiography to evaluate suspected tumors located in the heart.
Josep Aisa, DVM, DECVS, a 1999 graduate from the University of Barcelona, is an assistant professor in small animal surgery (soft tissue) at the University of Tennessee College of Veterinary Medicine.

Considerations for the use of echocardiography to evaluate suspected tumors located in the heart.

Published: February 12th 2021 | Updated: