
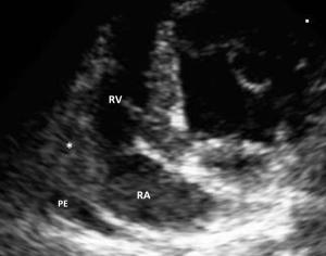
Considerations for the use of echocardiography to evaluate suspected tumors located in the heart.
Liza S Köster, BVSc(Hons), MMedVet(Med), DECVIM-CA, (Cardiology and Internal Medicine), EBVS, a 1999 graduate of the University of Pretoria (South Africa) Faculty of Medicine, is a clinical assistant professor of cardiology at the University of Tennessee College of Veterinary Medicine.

Considerations for the use of echocardiography to evaluate suspected tumors located in the heart.

Published: February 12th 2021 | Updated: