
Researchers determined the antibiotic susceptibility profile of Capnocytophaga isolates and used genomic analysis to identify a class D beta-lactamase gene in animal bite-associated Capnocytophaga species.
Dr. Pendergrass received her DVM degree from the Virginia-Maryland College of Veterinary Medicine. Following veterinary school, she completed a postdoctoral fellowship at Emory Universitys Yerkes National Primate Research Center. Dr. Pendergrass is the founder and owner ofJPen Communications, a medical communications company.

Researchers determined the antibiotic susceptibility profile of Capnocytophaga isolates and used genomic analysis to identify a class D beta-lactamase gene in animal bite-associated Capnocytophaga species.

Researchers analyzed all reported cases of livestock-associated methicillin-resistant Staphylococcus aureus (LA-MRSA) in pigs and humans in Norway from 2008 to 2014.

In a recent study, oral capromorelin was well tolerated and stimulated the appetite of inappetent dogs.

Researchers identified parasitic, bacterial, and viral enteropathogens in dogs that visited regional dog parks in Northern California.

In a study recently published in PLoS ONE, researchers reported the presence, prevalence, and phylogenetic relationships of skin mites, including Demodex mites, in social wild and domestic mammals.

A retrospective study published in Veterinary Radiology & Ultrasound reported the computed tomography features distinguishing several forms of adipose masses in dogs and cats.

Researchers conducted a systematic review of studies that used the ‘One Health’ framework to identify zoonotic endoparasites in a community-based setting.

A recent study reported that captive wolves and dogs, when raised under identical conditions, use showing behavior to indicate the location of out-of-reach food to cooperative humans.

In a recent study, authors assessed mercury concentrations in 101 wet and dry dog and cat foods.

In a study recently published in Animal Behaviour, capuchin monkeys used facial recognition to discriminate faces of other capuchin monkeys across several degrees of familiarity.

A recent study reported a significant association of anxiety and impulsivity with premature muzzle graying in young dogs.

In a recent study, veterinarians provided observations and perspectives on behavior changes in companion animals when a nearby animal is euthanized.

In a recent CDC Morbidity and Mortality Weekly Report, authors reported on an outbreak of influenza A(H3N2) variant (H3N2v) virus at agricultural fairs in Ohio and Michigan during the summer of 2016 due to infected swine.

During ID Week 2016, a group of researchers reported on the prevalence and risk factors of Staphylococcus aureus (SA) and methicillin-resistant S. aureus (MRSA) carriage within a large veterinary academic community.

A recent study reported bacterial dysbiosis in dogs sensitized to, then challenged with, house dust mite (HDM) allergens.

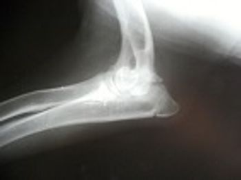
In a recent study, investigators conducted bone density (BD) analysis of healthy and diseased elbow joints in Labrador retrievers and Golden retrievers.

The study results could be applied to tests that can be utilized to create tests to help improve the palatability of veterinary pharmaceuticals for cats.

According to a recent study, voided urine specimens that are refrigerated and cultured on the same day of collection can be used to accurately diagnose urinary tract infections in dogs.