
The adult cat flea (Ctenocephalides felis) is a ubiquitous, enterprising and persevering insect. The cat flea is the most dominant, competitive and most common flea associated with domesticated animals today.

The adult cat flea (Ctenocephalides felis) is a ubiquitous, enterprising and persevering insect. The cat flea is the most dominant, competitive and most common flea associated with domesticated animals today.

There has been an ongoing debate over ototoxicity produced by topical medications.

As the years go by, I am amazed by the number of difficult cases that I continue to see in my practice.

It seems that pinnal inflammation is much easier to treat than canal inflammation.

Corticosteroids are among the most used and misused medications in veterinary medicine. They exert a powerful, reliable, and rapid effect, and there is no viable, more effective therapeutic alternative in animals with certain skin conditions. Topical and oral corticosteroid therapies are considered the first choice for treatment of acute and chronic inflammatory skin diseases, particularly allergic dermatitis. In addition, they aid in the inflammation associated with some types of infections, primarily Malassezia dermatitis and otitis.

When appropriately administered and not continued long-term, corticosteroids are very helpful and safe.

A 9-year-old castrated male Persian cat was referred with a four-month history of non-pruritic crusting and alopecia involving the face and abdomen.

The time from deposition of eggs to adult flea emergence is called the developmental window and can be up to three months in duration.

Consistency with treatment is also critical and will enhance treatment success.

Apparently in the cat, studies have shown that early-age onset cases tend be genetically based and not curable.

Otitis externa is an inflammatory condition with or without concurrent infection and is the most common dermatological disease in a busy veterinary practice. Thus it is the most common claim forwarded to veterinary insurance companies. For the most part, the majority of cases are simple, and treatment clears the disease in a few days.

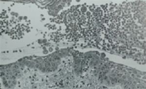
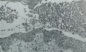
Dermatomyositis is genetically-based and immunologically mediated.

In addition, over-supplementation with vitamins and minerals has been linked to reduced zinc uptake in the gastrointestinal tract.

In my multi-specialty, referral-based veterinary hospital in the heart of San Francisco, with all our many bells and whistles, including access to numerous specialists within our clinic (internal medicine, surgeon, radiologist, dentistry, holistic, oncologist, acupuncturist and ophthalmologist), I still continue to feel very frustrated with a common skin disease: canine pyoderma.

In my practice, I receive numerous phone calls for consultations concerning the choice of shampoo or specific topical spray/lotion to treat skin disease. It can be very difficult to choose the right topical product. But with a few tips, a few rules to follow and some insight into shampoo ingredients, you'll be well on your way.

Published: May 1st 2008 | Updated:

Published: May 1st 2004 | Updated:

Published: August 1st 2004 | Updated:

Published: July 1st 2004 | Updated:

Published: July 1st 2007 | Updated:

Published: January 1st 2007 | Updated: