
It's one of the most common causes of colic in the newborn foal.

It's one of the most common causes of colic in the newborn foal.

A BAL should not be performed on a horse with overt respiratory distress, tachycardia or pulmonary hypertension.

Septicemia, defined as the systemic reaction caused by the presence of microorganisms or their toxins in the blood, often is cited as the most common reason for illness and death in the neonatal period.

It would be highly unusual for clinically significant cardiac disease to be present in a horse without a change in the heart rate, rhythm or the presence of a murmur.

Excessive use of corticosteroids has been reported to induce liver disease in the horse.

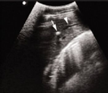
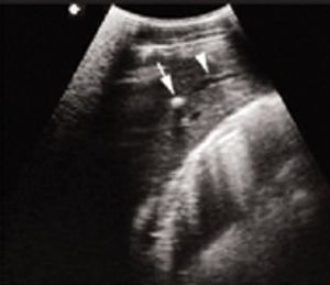
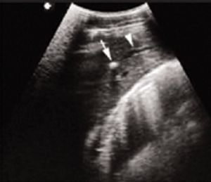
The clinical signs of hepatic insufficiency in horses are highly variable, nonspecific and depend on the extent and duration of hepatic disease.

Published: June 1st 2009 | Updated:

Published: November 1st 2008 | Updated:

Published: May 1st 2008 | Updated:

Published: February 1st 2008 | Updated:

Published: July 1st 2007 | Updated:

Published: May 1st 2007 | Updated: