
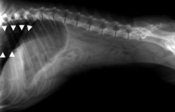
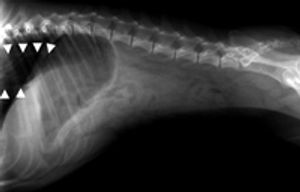
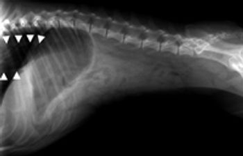
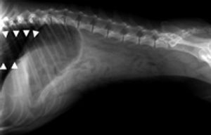
A 2-year-old intact male Boston terrier was evaluated because of a recent onset of gagging and vomiting.
Veterinary Imaging Specialists of Idaho
Boise, ID 83702

A 2-year-old intact male Boston terrier was evaluated because of a recent onset of gagging and vomiting.

Published: April 1st 2010 | Updated: