Dr. Federica Morandi provides the radiology perspective on this challenging veterinary oncology case.

Dr. Federica MorandiAs for other tumor types, the goal of imaging in insulinomas is to identify the primary lesion and any potential metastatic disease. Abdominal radiographs are usually of limited value because of the small size of most islet cell tumors.1 Although insulinomas typically metastasize to the regional lymph nodes and liver, thoracic radiographs are still suggested to rule out potential concurrent diseases or metastases secondary to other neoplastic processes which can cause paraneoplastic hypoglycemia.1
The ability to identify a pancreatic mass on abdominal ultrasonographic examination depends on the lesion's size, animal's body conformation, presence of shadowing gas in the gastrointestinal tract, patient's cooperation, and operator's skills. For such reasons, the sensitivity of abdominal ultrasonography in detecting canine insulinomas is highly variable (between 28% and 75%).1 Limited reports on endoscopic and contrast-enhanced ultrasound exist in the veterinary literature; while in humans these techniques appear to be highly sensitive, no such data exist in the veterinary literature, and the availability of both techniques remains limited in the veterinary field.1
In people, scintigraphy using indium-111 pentetreotide (OctreoScan-Mallinckrodt Pharmaceuticals) is considered an excellent imaging technique to identify metastases in malignant pancreatic tumors, including malignant insulinomas (sensitivity and specificity up to 94% and 86%, respectively), but has a poorer success rate in the detection of benign insulinomas.2-4 Despite differences in type and biodistribution of somatostatin receptors in dogs, in vitro studies have documented the presence of high-affinity somatostatin receptors in canine insulinomas.5 The small size of these tumors, combined with interference caused by accumulation of radioactivity in nontarget tissues (chiefly stomach and intestines), however, can hamper image interpretation and result in false negative studies.5 A study using single-photon emission computed tomography (SPECT), a scintigraphic technique that yields higher spatial resolution than planar nuclear medicine, resulted in the correct identification of 43% of primary pancreatic tumors and 50% of liver metastases but failed to correctly identify any metastatic lymph nodes.6
Initial reports describing the use of CT suggested that this imaging modality did not perform better than ultrasound,1,6 but the subsequent use of CT angiography (CTA) with image acquisition in both the arterial and venous phase of enhancement has resulted in much improved accuracy. CTA is now considered superior to both conventional CT and abdominal ultrasonography in both people and dogs.1
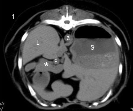
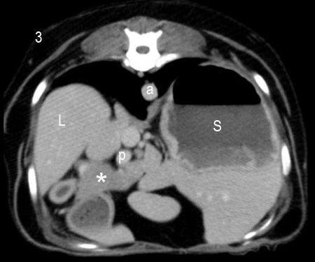
Because of the highly vascular nature of insulinomas, these tumors typically show intense enhancement (hyperattenuation) in the arterial phase, compared with normal pancreatic parenchyma, with similar enhancement to normal pancreatic tissue in the venous phase.7,8 A more recent paper suggested that the pattern of enhancement may be more variable, with hypoattenuating lesions seen as commonly as hyperattenuating lesions in at least one phase.9 While further studies including larger numbers of cases are needed to better define the CT imaging characteristics of insulinomas, CTA remains the best imaging modality for the identification and staging of these tumors (Figure 2).



Figure 2. Transverse CT images of the dog in this case at the level of the pancreatic body and left limb, obtained pre-contrast (1), and in the arterial (2) and portal (3) phases of enhancement (1 ml/lb of iodinated nonionic contrast medium, 300 mg iodine/ml). A small, 1-cm nodule is visible ventral to the portal vein in the arterial phase of enhancement (arrows), but not pre-contrast or in the portal phase. This nodule was surgically resected and confirmed to be an insulinoma on histopathologic examination. L: liver; S: stomach; a: aorta; p: portal vein; C: caudal vena cava; asterisk (*): pancreas.References
1. Goutal CM, Brugmann BL, Ryan KA. Insulinoma in dogs: a review. J Am Anim Hosp Assoc 2012;48:151-163.
2. Chiti A, Fanti S, Savelli G, et al. Comparison of somatostatin receptor imaging, computed tomography and ultrasound in the clinical management of neuroendocrine gastro-enteric-pancreatic tumors. Eur J Nuc Med 1998;25:1396-1403.
3. Modlin IM, Tang LH. Approaches to the diagnosis of gut neuroendocrine tumor: the last word (today). Gastroenterology 1997;112:583-590.
4. Gibril F, Jensen RT. Comparative analysis of diagnostic techniques for localization of gastrointestinal neuroendocrine tumors. Yale J Biol Med 1997;70:509-522.
5. Robben JH, Vissar-Wisselar HA, Rutteman GR, et al. In vivo and in vitro detection of functional somatostatin receptors in canine insulinomas. J Nucl Med 1997;38:1036-1042.
6. Robben JH, Pollak YWEA, Kirpensteijn J, et al. Comparison of ultrasonography, computed tomography, and single-photon emission computed tomography for the detection and localization of canine insulinoma. J Vet Intern Med 2005;19:15-22.
7. Iseri T, Yamada K, Chijiwa K, et al. Dynamic computed tomography of the pancreas in normal dogs and in a dog with pancreatic insulinoma. Vet Radiol Ultrasound 2007;48:328-331.
8. Mai W, Caceres AV. Dual-phase computed tomographic angiography in three dogs with pancreatic insulinoma. Vet Radiol Ultrasound 2008;49:141-148.
9. Fukushima K, Fujiwara R, Yamamoto K, et al. Characterization of triple-phase computed tomography in dogs with pancreatic insulinoma. J Vet Med Sci 2015;77:1549-1553.
From exam room tips to practice management insights, get trusted veterinary news delivered straight to your inbox—subscribe to dvm360.