
Washington -- Veterinarian Marguerite Pappaioanou resigned as executive director of the Association of American Veterinary Medical Colleges (AAVMC) effective Oct. 31.

Washington -- Veterinarian Marguerite Pappaioanou resigned as executive director of the Association of American Veterinary Medical Colleges (AAVMC) effective Oct. 31.

The editors of dvm360.com have announced that the fourth digital issue is now available for download inside the dvm360 iPad app. The first and only veterinary digital publication designed specifically for the iPad, the dvm360 app offers you everything you need to succeed in veterinary practice right on your iPad.

Philadelphia -- Ralph Brinster, the Richard King Mellon professor of reproductive physiology at the University of Pennsylvania School of Veterinary Medicine (Penn Vet) has become the first veterinarian to win the National Medal of Science.

Schaumburg, Ill. -- The American Veterinary Medical Association (AVMA) and the Federation of Veterinarians of Europe (FVE) released new statements on the most critical issues facing veterinary medicine.

Leucadia, Calif. - The Academy of Veterinary Homeopathy (AVH) has asked a Virginia circuit court to award it more than $70,000 in damages after its continuing education (CE) courses were denied approval by the American Association of Veterinary State Boards' (AAVSB) Registry of Approved Continuing Education (RACE) Committee.

North Grafton, Mass. - Former dean of the Cummings School of Veterinary Medicine at Tufts University Franklin M. Loew, DVM, PhD, was posthumously awarded that 2011 Robert Shomer Award at the AVMA Convention in St. Louis in recognition of his significant contributions to veterinary medical ethics.

When it comes to the economics of veterinary education, the future is unsustainable for most students.

Baton Rouge - Louisiana State University (LSU) School of Veterinary Medicine received $200,000 from the Humane Society of the United States (HSUS) for its shelter medicine program.

Davis, Calif. - A landmark donation-one of the largest ever received by the veterinary college-pulls the University of California-Davis closer to its billion-dollar fundraising goal.

Madison, Wis. - Long-time professor Dale Bjorling, DVM, has been named associate dean for research and graduate training at the University of Wisconsin-Madison School of Vetrinary Medicine.

Grenada, West Indies -- St. George's University (SGU) School of Veterinary Medicine has been granted full accreditation by the American Veterinary Medical Association's (AVMA) Council on Education (COE).

Raleigh, N.C. -- Dr. D. Paul Lunn, professor of equine medicine and head of the Department of Clinical Sciences at Colorado State University?s College of Veterinary Medicine and Biomedical Sciences, has been named the new dean of the College of Veterinary Medicine at North Carolina State University (NCSU), effective Feb. 15, 2012.

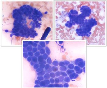
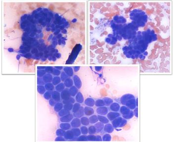
Correct answer for Image Quiz: Cytology-A mysterious temporal mass after limb amputation

Madison, Wis. -- Dr. Daryl Buss, dean of the University of Wisconsin-Madison School of Veterinary Medicine (UW-Madison), will retire after 17 years at the helm.

Knoxville, Tenn. -- The Equine Hospital at the University of Tennessee (UT) Veterinary Medical Center was placed under a 7-day quarantine Sept. 16 by the Tennessee State Veterinarian following a confirmed case of equine herpesvirus (EHV-1).

The editors of dvm360.com have announced that the third digital issue is now available for download inside the dvm360 iPad app. The first and only veterinary digital publication designed specifically for the iPad, the dvm360 app offers you everything you need to succeed in veterinary practice right on your iPad.

National Report - The federal debt reduction bill that made headlines this summer has a trickle-down effect on veterinarians, with the elimination of an in-school interest subsidy on graduate and professional student loans.

Denver - Applications to Morris Animal Foundation's Veterinary Student Scholars Program doubled this year, and a total of 81 students received awards.

Urbana, Ill. - Over the next 18 months, the University of Illinois College of Veterinary Medicine will undergo a transformation that could reduce energy consumption by as much as 40 percent.

St. Louis - Veterinary schools need to graduate veterinarians with real-world skills necessary to immediately contribute to practices or other areas of employment.

Blacksburg, Va. - Two new initiatives in public health have been launched at Virginia Tech with the formation of the Center for Public Health Practice and Research and a new department within the Virginia-Maryland Regional College of Veterinary Medicine to support the center.

Schaumburg, Ill. - Rapid growth of the veterinary technology field is forcing the American Veterinary Medical Association to make changes to the way it accredits veterinary technology program.

Lansing, Mich. - While funding for higher education keeps creeping down on the priority list for cash-strapped states, at least one veterinary schools hopes it is seeing the light at the end of the tunnel.


Davis, Calif. -- Dr. Michael D. Lairmore, veterinarian, cancer researcher and top administrator at The Ohio State University has been named dean of the University of California-Davis (UC-Davis) School of Veterinary Medicine.

Correct answer for Image Quiz: Ophthalmology-A close-up look at a leopard geckol

The editors of dvm360.com have announced that the second digital issue is now available for download inside the dvm360 iPad app. The first and only veterinary digital publication designed specifically for the iPad, the dvm360 app offers you everything you need to succeed in veterinary practice right on your iPad.

Blacksburg, Va. -- Police issued a lockdown of the entire Virginia Tech campus after a suspicious man was reported with a handgun.

Harrogate, Tenn. - Lincoln Memorial University will open a new veterinary college in the fall of 2012.

Atlanta, Ga. - Georgia lawmakers have reworked the state's previous student loan repayment program and established a board to purchase the loans of veterinary students that will practice food-animal medicine in Georgia.