
One veterinarian's struggle with the pressures of practice and life outside practice, with some pointers to help you through your tough times.
Timothy McCarthy, DVM, PhD, DACVS, practices at Cascade Veterinary Referral Center in Tigard, Oregon, and trains veterinarians in minimally invasive surgical techniques through his company VetMIST.

One veterinarian's struggle with the pressures of practice and life outside practice, with some pointers to help you through your tough times.

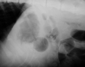
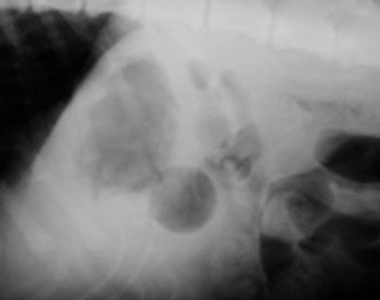
An 8-week-old 16.5-lb (7.5-kg) female Labrador retriever puppy was presented for evaluation of urinary incontinence. The puppy's incontinence had been present since the owner obtained the puppy at 4 weeks of age.

A 10-month-old 136-lb (62-kg) female Irish wolfhound was presented for evaluation of right forelimb lameness of four months' duration.

A 7-month-old intact male Labrador retriever was presented for evaluation of a two-week history of left hindlimb lameness.

A 5-year-old spayed female Birman cat was presented for evaluation of a three-month history of recurrent depression, vomiting, and urinary tract infections.

A 9-month-old intact male Labrador retriever was presented two weeks after it swallowed a Ping-Pong ball.

Published: September 1st 2006 | Updated:

Published: June 1st 2005 | Updated:

Published: March 1st 2005 | Updated:

Published: January 1st 2005 | Updated:

Published: October 1st 2004 | Updated:

Published: May 6th 2015 | Updated: