
Stomatitis in dogs is relatively uncommon however can cause significant health issues when it does occur.

Stomatitis in dogs is relatively uncommon however can cause significant health issues when it does occur.

Diagnosing and treating acute and chronic causes of vomiting and diarrhea.

Canine and Feline liver disease diagnosis and treatment has improved dramatically over the last 20 years due to clinicians working to obtain a definitive diagnosis with improved diagnostic procedures.

Inflammatory bowel disease (IBD) in dogs and cats is the name used for many disorders of the small and large bowel of the gastrointestinal tract.

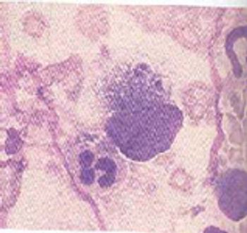
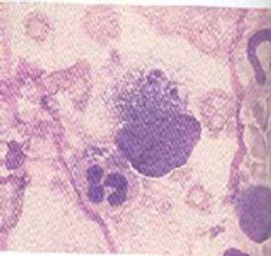
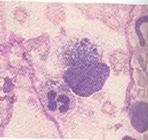
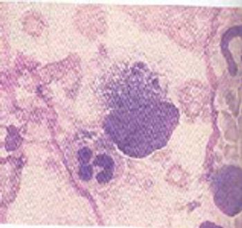
Overview of Protozoans, Giardia, Coccidia, Cryptosporidia, Toxoplasmosis, and more.

Primary motility disorders of the gastrointestinal (GI) tract in the dog and cat are not well studied.

Esophageal diseases cause disturbance of food flow through the esophagus due to obstructions from foreign bodies and tumors, inflammation, decreased motility, and compression of the esophagus from intramural or extra-luminal masses.

Published: August 1st 2008 | Updated:

Published: August 1st 2008 | Updated:

Published: August 1st 2008 | Updated:

Published: August 1st 2008 | Updated:

Published: August 1st 2008 | Updated:

Published: August 1st 2008 | Updated: