
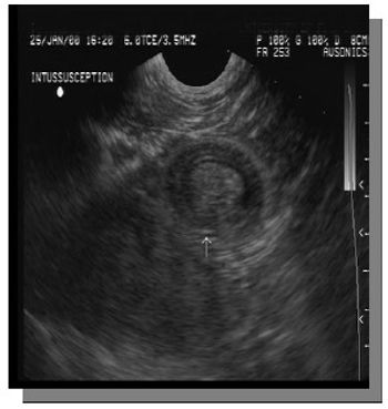
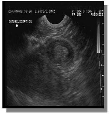
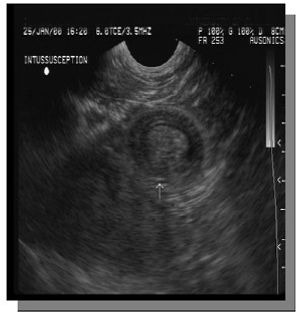
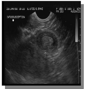
Abdominal pain in the foal can be a frustrating diagnostic challenge as the differential diagnosis are extensive. Abdominal pain can progress rapidly leading to septicemia or even death.

Abdominal pain in the foal can be a frustrating diagnostic challenge as the differential diagnosis are extensive. Abdominal pain can progress rapidly leading to septicemia or even death.

Perinatal Asphyxia Syndrome produces hypoxic ischemic encephalopathy (HIE) resulting in neurological deficits ranging from hypotonia to grand mal seizures. Foal's affected with perinatal asphyxia also experience gastrointestinal disturbances ranging from mild ileus and delayed gastric emptying to severe, bloody diarrhea and necrotizing enterocolitis (NEC).

Emerging intestinal disease of the in the horse, referred to as Eequine proliferative enteropathy.

Botulism is a neuromuscular disease characterized by flaccid paralysis that is caused by neurotoxins produced by strains of Clostridium botulinum. Horses are one of the most susceptible species, with both individual and group outbreaks reported.

Colic in horses may be an acute bout that either improves spontaneously or responds to medical or surgical intervention . Some horses suffer from chronic colic which pose a diagnostic delema for the medical clinician. In one study by Proudman (1991) only a small percentage (7%) require surgical intervention.

Scraping for cytology and cultures: The cultures should be done before any drops, (drugs contain bacteriostatic agents), topical anesthetics and the handle end of a scalpel blade to scrape, sterile dacron swabs for culture.

Abdominal pain in the foal can be a frustrating diagnostic challenge as the differential diagnosis are extensive.

Leptospirosis is a bacterial disease caused by pathogenic Leptospira species affecting domestic animals, wildlife, and humans.

Pneumonia in foals, caused by Rhodococcus equi (R. equi) is a well-known worldwide problem.

Information on various diseases of the cornea in horses.

Colic in horses may be an acute bout that either improves spontaneously or responds to medical or surgical intervention.

Information on thyroid function, pituitary pars intermedia dysfunction, and equine metabolic syndrome in horses.

Published: April 1st 2010 | Updated:

Published: April 1st 2010 | Updated:

Published: April 1st 2010 | Updated:

Published: April 1st 2010 | Updated:

Published: April 1st 2010 | Updated:

Published: April 1st 2010 | Updated: