
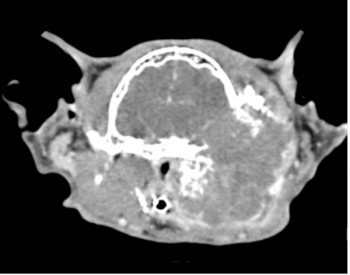
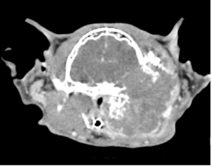
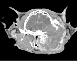
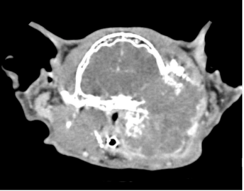
CT and MRI continue to gain traction as they become more widely available and less costly. Their diagnostic superiority over radiography will improve the treatment of some common diseases in small animal patients.
Eric Van Eerde, DVM, DACVR, is a 2012 graduate of the University of Florida College of Veterinary Medicine in Gainesville. He has worked as an associate radiologist and as director of radiology at BluePearl Specialty and Emergency Pet Hospital in Tampa, Florida.

Published: March 16th 2021 | Updated: