Banner - Fetch Encore 2025
News
All NewsBreaking NewsConference NewsExpert Interviews
Programs
dvm360 Insightsdvm360 LIVE!Pet ConnectionsProduct360The Vet Blast PodcastVet Perspectives™VetXchange®Vet WatchThe Resilient Vet: Mind and Body Strategies for SuccessFetch Encoredvm360IQ
Fetch
All ConferencesLong BeachCharlotte 2026Nashville 2026Kansas City 2026National Harbor 2026Long Beach 2026
Flex CE
Flex HomeArticlesConference ProceedingsOn-demand WebinarsPodcastsUpcoming Webinars VetXchange®Fetch On-Demand
Publications
More
Webinars
Business
AssociatesBusiness & Personal FinanceBuying or Selling a PracticeCareer DevelopmentHospital DesignLeadership & Personal GrowthOwnersPersonnel ManagementPractice FinancesPractice Managers Practice OperationsStudentsTechnicians TechnologyTechnologyWellbeing & Lifestyle
Partners
Awards
Hospital DesignVet Heroes
Shop

Subscribe

  • News
  • Programs
  • Fetch
  • Flex CE
  • Publications
  • Webinars
  • Business
  • Partners
  • Awards
  • Shop
  • Subscribe
  • Anesthesia
  • Anesthesiology & Pain Management
  • Animal Welfare
    • Shelter Medicine
  • Aquatic Medicine
  • Avian & Exotic
    • Poultry Medicine
  • Behavior
  • Dentistry
  • Dermatology
  • Diagnostics
  • Emergency & Critical Care
  • Equine Medicine
  • Feline Medicine
  • Food Animals
  • Geriatric & Palliative Medicine
  • Infectious Diseases & Epidemiology
  • Integrative & Holistic Medicine
  • Internal Medicine
    • Oncology
    • Neurology
    • Cardiology
    • Urology/Nephrology
    • Respiratory Medicine
    • Gastroenterology
    • Diabetes
    • Endocrinology
  • Livestock
    • Swine
    • Small Ruminant
  • Nutrition
    • Microbiome
  • One Health
  • Ophthalmology
  • Orthopedics
  • Pain Management
  • Parasitology
  • Pathology
  • Pediatrics
  • Pharmacology
  • Preventive Medicine
  • Radiology
  • Rehabilitation
  • Surgery
  • Technology
  • Theriogenology
  • Toxicology
  • Zoo Medicine
Spotlight -
Check out the Fetch On-Demand Catalog|
Veterinary Podcast
Advertisement

Christopher Thacher, DVM, DACVS

Advertisement

Articles by Christopher Thacher, DVM, DACVS

i1-446485-1384751079077.jpg

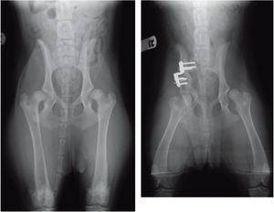
Canine hip dysplasia: Treatment hinges on phase of disease and age

ByChristopher Thacher, DVM, DACVS
July 1st 2007

Although it is expensive,TPO surgery can spare the dysplastic dog a lifetime limited by pain.

Advertisement

Latest Updated Articles

  • i1-446485-1384751079077.jpg
    Canine hip dysplasia: Treatment hinges on phase of disease and age

    Published: July 1st 2007 | Updated:



Advertisement
Advertisement

Trending on dvm360

1

Key takeaways: Practical approaches to canine lymphoma diagnosis and management

2

Thailand makes history with nation's first cat pacemaker surgery

3

Practical ophthalmology for senior pets

4

FDA conditionally approves topical drug for cattle to prevent and treat New World screwworm

5

What veterinary professionals need to know about in-house vaccine titering

  • About Us
  • Fetch DVM360 Conference
  • Terms and Conditions
  • Contact Us
  • Veterinary Podcast
  • Privacy
  • Editorial
  • Do Not Sell My Information
Contact Info

259 Prospect Plains Rd, Bldg H
Cranbury, NJ 08512

609-716-7777

Brand Logo

© 2025 MJH Life Sciences®

All rights reserved.

Home
About Us
News
Contact Us