
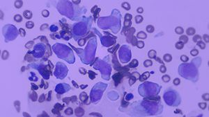
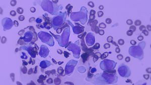
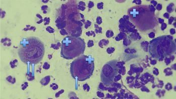
This skin impression cytology sample is from a 5-year-old, mixed-breed, spayed female dog.
Dr. Chris Reeder practices at BluePearl Veterinary Partners in Franklin, Tennessee. Dr. Reeders special interests include ear disease and immune-mediated skin diseases. He is an avid hobby farmer raising a large number of critters.

Published: July 2nd 2018 | Updated:

Published: August 8th 2018 | Updated:

Published: August 15th 2019 | Updated: