
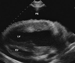
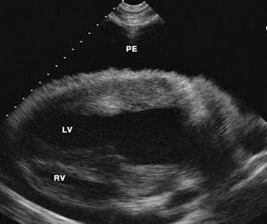
Pericarditis is an inflammatory condition of the pericardial lining of the heart. It is characterized by accumulation of fluid, fibrin or fibrous tissue within the pericardial sac. Pericarditis is seen more commonly in young horses.1,2 There is no breed predilection. Male intact horses may be at increased risk.1


